Moderne Methoden der Zellbiologie

VIII: Darstellung des Gehirns    (INHALT) butmeth.jpg

NMR: Kernspintomographie


Anwendungen in der Hirnforschung: Anatomie, Diagnostik und Funktion

HIGHRES 68 kbyte

 
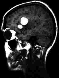
Anatomie
 
Mit der Kernspintomographie können anatomische Strukturen mit einer räumlichen Auflösung von etwa 1 mm³ untersucht werden. Der gute Kontrast - der aus der Dichteabhängigkeit des NMR-Signals resultiert - macht diese Methode für die Darstellung des Gehirns besonders geeignet.
 
Weder radioaktive Strahlung noch Kontrastmittel werden für die NMR-Messung gebraucht, so daß auch gründliche Vermessungen mit hohem Zeitaufwand ohne Gefährdung des Probandes möglich sind.
 
Quelle: "Forschen in Jülich" (1/2000)
Forschungszentrum Jülich
anatol.jpg

 
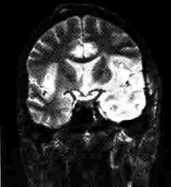
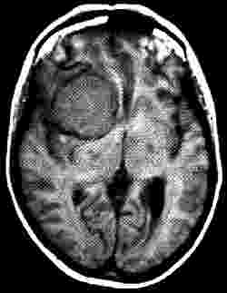
Diagnostik: Für die Erkennung pathologischer Veränderungen im Gehirn ist die Kernspintomographie eine der wichtigsten klinischen Methoden. Sehr kontrastreiche Strukturen wie Hämatome der Aneurysmen (unten links) werden leicht erkannt. Aber auch kontrastärmere Strukturen wie Tumore (unten mitte) oder entzündetes Gewebe (unten rechts) können im Kernspintomogramm erkannt werden.
 
aneul.jpg meningl.jpg herpesl.jpg
Aneurysma im Bifurkationbereich der linken Arteria cerebri media
Aus: Lissner, J., Seiderer, M. (1990)
Mediales Keilbeinmeningiom
Aus: Lissner, J., Seiderer, M. (1990)
Herpes-Encephalitis. Erhöhtes Signal vor allem im linken Temporallappen. Sicht von vorn.
Aus: Lissner, J., Seiderer, M. (1990)

 
Funktionelles NMR
 
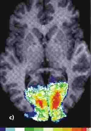
Ein äußerst spannendes Arbeitsfeld ist die Darstellung von Gehirnaktivität im Kernspintomographen. Die Aktivitätssteigerung eines bestimmten Hirnareals ist immer mit erhöhtem Sauerstoffverbrauch verbunden. Wird zB ein visuelles Signal verarbeitet, steigt der Sauerstoffverbrauch im visuellen Cortex. Bei erhöhter Aktivität weiten sich die Arteriolen in der betreffenden Region, um mehr sauerstoffreiches Blut in die Blutkapillaren durchzulassen. Da der Sauerstoff dem Blut nicht komplett entzogen wird, gelangt mehr sauerstoffreiches Blut in die abführenden Blutgefäße, die Venolen, als das bei Ruheaktivität der Fall ist.
 
Die Magnetisierbarkeit von sauerstoffreichem Blut ist aber anders als die des sauerstoffarmen Blutes. Aus diesem Grund kann im Kernspinexperiment die Zunahme des Sauerstoffgehalts im venösen Blut aktiver Hirnareale detektiert werden.
 
Die Änderung des NMR-Signals zB bei Verarbeitung eines visuellen Reizes sind sehr klein, und es ist oft nötig, mehrere Stimulationen durchzuführen und die dabei gemessenen Signale zu mitteln, um eine statistisch eindeutige (signifikante) Abweichung vom Ruhewert nachzuweisen. Das Ergebnis dieser statistischen Analyse wird dann in Form einer Falschfarbendarstellung einem Kernspintomogramm überlagert. Je wärmer der Farbton, desto stärker die gemessene Abweichung vom Ruhewert des NMR-Signals.
 
Quelle: "Forschen in Jülich" (1/2000)
Forschungszentrum Jülich
fmnrl.jpg