NMR und PET

 

 

Moderne Methoden der Zellbiologie

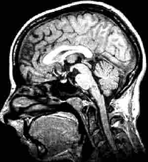
VIII: Darstellung des Gehirns butmeth.jpg


Inhalt:

 
NMR: Kernspintomographie
     ...kommt noch...
nmrin.jpg petin.jpg