Moderne Methoden der Zellbiologie

IX: Der Rechner als Mitarbeiter    (INHALT) butmeth.jpg

Digitale Bildverarbeitung: Kombination von Bildern


Digitale Bildverarbeitung (Einführung) Falschfarbendarstellung
Einige Beispiele
HIGHRES (91 kbyte)

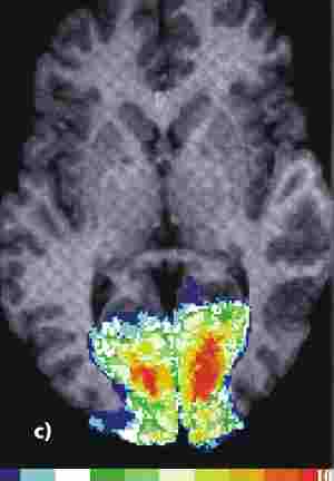
Durch graphische Kombination von morphologischen und funktionellen Daten können wichtige Zusammenhänge veranschaulicht werden. Hier ist diese Kombination anhandt von Messungen der Hirnaktivität dargestellt.
 
Links sind zwei Bilder überlagert: Ein Kernspintomogramm des Kopfes (blau) und ein Positronenemissions-Tomogramm (PET; grüne Flecken), das erhöhte Gehirnaktivität in drei Bereichen anhandt erhöhter Stoffwechselaktivität darstellt. Die Bilder sind weder gleichzeitig aufgenommen worden, noch stammen sie vom selben Menschen. Die Kernspinaufnahme dient lediglich zur Identifizierung der aktiven Hirnareale. Die räumliche Auflösungen von NMR- und PET-Signalen liegen im Bereich von 1 mm (NMR) bis 7 mm (PET). Beim PET können mit einer besonderen Art von Kontrastmittel (Positronenstrahlern) Stoffwechselwege verfolgt und der lokale Energieverbrauch gemessen werden. Die Registrierung eines Bildes kann einige Sekunden bis Minuten beanspruchen.
 
Aus: Kandel, E.R., Schwartz, J.H., Jessel, T.M. (1991)
Das Bild rechts zeigt die Überlagerung eines Kerspintomogramms (grau) und einer Messung der durch Hirnströme verursachten Magnetfelder (Magnetenzephalographie). Mit dieser Methode kann die Aktivität in spezifischen Arealen des Gehirns definierten Tätigkeiten zugeordnet werden. Die räumliche Auflösung ist bei der Magnetenzephalographie ca 5 mm, und die Methode bietet eine sehr hohe zeitliche Auflösung, so daß auch schnelle, insbesondere rhythmische Aktivitätsmuster von Neuronen erfasst werden können.
 
Aus: Forschen in Jülich, 1/2000, Forschungszentrum Jülich
petnmrl.jpg magnetl.jpg

 
Sowohl im linken als auch im rechten Bild werden sehr unterschiedliche Arten von Daten miteinander kombiniert. Das NMR- Bild ist eine Art Photo einer einzelnen Gehirnebene - im allgemeinen die Darstellung einer typischen Hirnstruktur. Die funktionellen Messungen hingegen sind Resultate komplizierter Datenverarbeitung. Messungen vieler Einzelbilder werden gemittelt, gelegentlich auch Bilder, die von mehreren Menschen stammen. Messungen vor und nach einem Stimulus werden voneinander subtrahiert, so daß Differenzbilder entstehen. Diese gemittelten Differenzbilder werden einer genauen statistischen Analyse unterworfen: Wo sind statistisch signifikante Unterschiede zwischen der Kontrollmessung und der Messung während des Stimulus auszumachen? Die Signale sind oft äußerst schwach und müssen mit erheblichem Rechenaufwand gesucht werden. Zur graphischen Verdeutlichung dient die Falschfarbendarstellung, mit der auch die kleinste Änderung als blau-zu-rot-Signal dargestellt werden kann.
 
Die funktionellen Daten (bunt) in den beiden Bildern unten wurden mit der funktionellen Kernspintomographie (fNMR) gewonnen, bei der man Änderungen des NMR-Signals bei zunehmender Durchblutung eines aktiven Hirnareals auswertet. Als Beispiele für die Kombination von Bildern sind Überlagerungen von fNMR-Daten mit einem Kernspintomogramm (links) und mit einer graphischen Darstellung des Gehirns (rechts) abgebildet.
 
Aus: Forschen in Jülich, 1/2000, Forschungszentrum Jülich
fnmrl.jpg fnmr2l.jpg

Institut für Biologische Informationsverarbeitung im